Médicos extirparon un “saco de canicas” que le creció a una mujer en el cuero cabelludo

Noticias Caracol - Foto: Radiological Society of North America
"

El Instituto Sri Sathya de Ciencias Médicas Superiores, en Puttaparti, India, reveló en la revista médica Radiología el caso de una mujer que acudió a los doctores debido a que tenía un bulto en la cabeza.

Noticias Caracol - Getty Images
"

La nativa de Bangalore, quien tiene 52 años, mencionó que la protuberancia la había tenido desde la infancia, pero nunca se acercó a un centro médico para abordar el porqué del bulto en su cuero cabelludo.

Noticias Caracol - Getty Images
"

Jamás sintió dolor o molestias

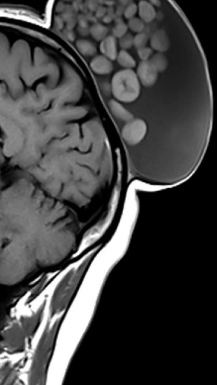
Luego de un examen, se percataron que la masa, que se ubicó en la región parieto-occipital, medía 15 cm de largo, 10 de ancho y 12 de alto.

Noticias Caracol - Foto: Radiological Society of North America
"

Cuando eliminaron el crecimiento, notaron que la lesión estaba llena de moléculas de grasa, bolas de queratina, líquido y cabello.

Noticias Caracol - Foto: Radiological Society of North America
"

Lo describieron como un “saco de canicas”

Las bolas encontradas se conocen como quistes dermoides, los cuales parecen tumores, pero, generalmente, no son dañinos, según explicó la Clínica Cleveland, citado por el medio New York Post.

Noticias Caracol - Getty Images
"

Este tipo de quistes pueden contener hueso, líquido, cabello, nervios, piel, dientes o glándulas sudoríparas.

Noticias Caracol - Foto: Radiological Society of North America
"

La paciente se encuentra fuera de peligro y su recuperación ha sido exitosa, a tal punto que la protuberancia no volvió a crecer.

Noticias Caracol - Foto: Radiological Society of North America
"

Conéctese con nuestras historias.

Haga clic aquí:

Paula García Vargas
Ver más